Oralna kirurgija
Ko govorimo o oralni kirurgiji in vgradnji zobnih implantatov, obstajajo situacije, ko je maksilarni sinus prenizek in zato ni mogoča takojšnja vgradnja zobnih implantatov. V takem primeru se uporablja postopek dvigovanja sinusov, oz. sinus lift.

Zadnje čase se v dentalni stomatologiji pojavilo veliko novosti. Ena izmed glavnih novosti na področju implantologije je PRF protokol, ki omogoča regeneracijo kosti s pomočjo naše krvi in plazme. PRF metoda, ki se uporablja tudi v kozmetični kirurgiji obraza za mezoterapijo, je zadnje čase bila v pomoč pacientom, ki se odločajo za vgradnjo zobnih implantatov.

Apikotomija je oralno kirurški poseg, s katerim se odstranjuje vrh korenine zoba (apex), najpogosteje zaradi kroničnih vnetij ali fraktur na področju vrha korenine (granulom ali ciste). Apikotomija se izvaja pod lokalno anestezijo, kar pomeni, da je poseg neboleč. V Stomatološkem centru Štimac poseg apikotomije izvaja dr.med.dent. Filip Štimac, specializant oralne kirurgije.

Alveotomija je kirurško odstranjevanje impaktiranih in retiniranih modrostnih zob. Posameznim zobom je lahko onemogočena rast (prodiranje), kar pa ne pomeni, da je zaustavljen razvoj zoba. Impaktirani in retinirani zobje so zobje, ki so se popolnoma formirali znotraj kosti, vendar niso prodrli na svoje mesto, niti na katerokoli drugo mesto znotraj ali izven zobnega loka.

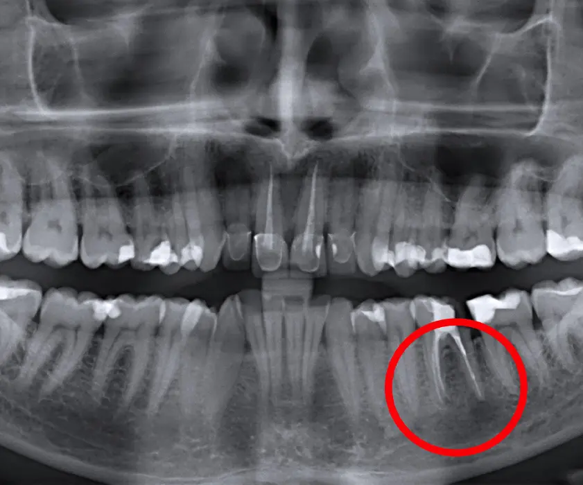
Cistektomija je poseg oralne kirurgije, ki odstranjuje periapikalne lezije zob, oz. abscesov, granulomov in različnih cist. Zgoraj omenjene tvorbe, oz. spremembe, so vidne okoli korenine zoba in se najbolj pogosto opazijo na panoramski sliki, oz. ortopanu, ko bolnik pride k zobozdravniku zaradi hude bolečine in otekline.

Preverite našo strokovnost
Kaj pravijo naši bolniki o nas.
Izkušnje
Izkušnje
Izberite način plačanja
Kakor bi vam lahko olajšali financiranje vašega stomatološkega posega, za plačilo v gotovini dajemo 5-15% popusta.
















