Apikotomija –
kirurška odstranitev vrha
korenine
KAKO POTEKA POSEG?
Poseg se začne tako, da se zareže v zobno mesno ter ga se privzdigne, da bi dosegli zobno korenino. S posegom se odstrani vrh korenine zoba skupaj z vnetnim procesom, nato pa se koreninski kanal zoba polni z različnimi zmesmi in materiali, ki so za to predvideni. Glede na posamezen primer, je zob možno endodontsko obdelati (čiščenje in širjenje kanala zoba ter njegovo polnjenje) in sicer pred ali med samim posegom.
Preverite našo strokovnost
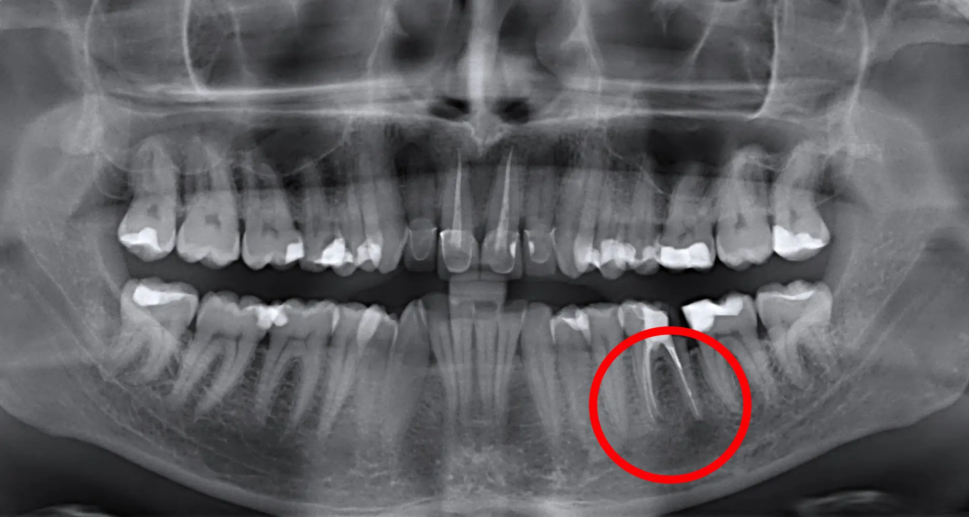
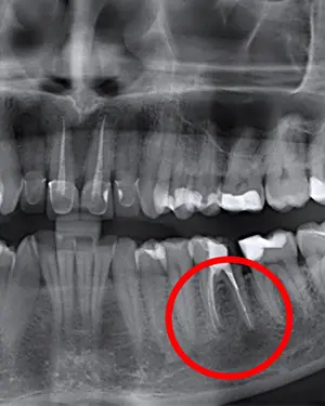
Če občutite bolečino ali otekanje zoba, ki je že endodontsko zdravljen, je potrebno poiskati pomoč stomatologa. Stomatolog bo v tem primeru naredil RTG posnetek tega področja (zoba in okoliške kosti) ter opravil klinični pregled, kakor bi odločil, ali je potrebno opraviti apikotomijo. Koreninski kanali so zelo kompleksni, še posebej na vrhu korenine. Včasih po endodontskem posegu zaostanejo infektivni ostanki znotraj kanala. To lahko privede do kasnejše ponovne okužbe korenine in potrebe za apikotomijo. Pri apikotomiji se odstrani vrh korenine skupaj z vnetnim in inficiranim tkivom, na kar se s polnjenjem kanala zapečati vrh korenine. Apikotomija je danes vse bolj pogost poseg, saj pacientom omogoča ohranjanje zob, katere ni možno zdraviti z endodontsko terapijo in katere bi drugače morali izpuliti. Šteje se za majehn kirurški poseg, traja pa od 30 do 60 minut, odvisno od tega za katero regijo in zob se gre. Posegi na sprednjih zobeh so praviloma krajši, med tem ko so posegi na spodnjih kotnikih najdaljši.
- Po operativnem posegu je potrebno s hladnimi oblogami hladiti mesto posega zaradi zmanjšanja otekline
- V primeru bolečine jeti analgetike po priporočilu stomatologa
- Jemati antibiotike zaradi skrajšanja post-operativnega okrevanja
- Po sedmih dneh se odstranjujejo šivi; ves čas je nujno maksimalno vzdrževanje oralne higiene in ščetkanje okoli rane z nežnimi gibi zaradi odstranjevanja oblog
- Izpiranje ustne votline z žajbljevim čajem, slano vodo ali antiseptikom
- V primeru manjših krvavitev iz šivov, lahko na njih postavite vlažno vrečko kakšnega čaja (priporočeno črnega čaja)
- Po samem posegu je priporočeno uživanje tekoče hrane, ampak se je potrebno izogibati vroči hrani in napitkom
- Priporočeno je, da se neposredno po posegu izogibate kajenju
- Priporočeno je, da se izogibate uživanju alkohola












