Študije primerov
Študije primerov
Primer vgradnje lusk in kron


Ta pacientka ni bila zadovoljna z videzom, barvo in obliko svojih zob. Estetske in funkcionalne težave z zobmi smo rešili z namestitvijo vrhunskih zobnih lusk in zobnih kron, ki jih izdelujemo v našem laboratoriju. Več o protetiki izvedite v našem centru!Izvedite več ›
Primer vgradnje vsadkov, mostičkov in kron


Učinkovita in trajna rešitev za pomanjkanje zob je vgradnja vsadkov. Tako je bilo tudi v tem primeru, ko so bili zobni mostički in krone pritrjeni na vsadke, pa tudi na zdrave zobe. Na ta neboleč način je naš pacient dobil nov nasmeh! Več o vgradnji vsadkov izvedite v našem centru!Izvedite več ›
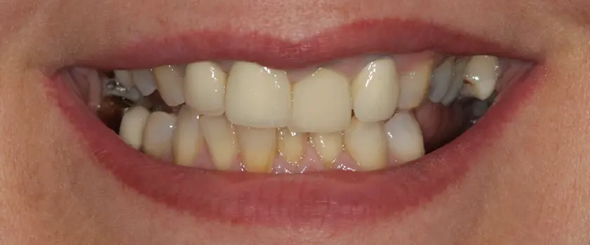
Primer vgradnje lusk in kron


Eden od pogostih estetskih težav z zobmi je razmak med zobmi. V tem primeru smo ga rešili z luskami in zobnimi kronami. Keramične zobne luske, priljubljene veneers ali vinirji in krone se na neboleč način vgradijo v le nekaj obiskih. Več o protetiki izvedite v našem centru!Izvedite več ›
Primer vgradnje lusk in kron


Včasih samo beljenje zob ni rešitev za pridobitev želene barve zob, zato je priporočljivo vgraditi zobne luske. Luske v kombinaciji s cirkonskimi kronami učinkovito okrepijo zobe, jim povrnejo funkcionalnost in podarijo čudovit nasmeh, o katerem sanjate. Več o protetiki izvedite v našem centru!Izvedite več ›
Primer vgradnje lusk


Keramične luske so danes ena najbolj iskanih estetskih rešitev. Kot je prikazano v tem primeru, zahtevajo minimalno brušenje zdravega zoba, vgradnja je neboleča in zahteva le nekaj obiskov. Več o vgradnji lusk izvedite v našem centru!Izvedite več ›
ZOBNI IMPLATANTI


Zobni vsadki so lepi in funkcionalni kot pravi zobje, omogočajo pa vam, da ohranite svoje zdrave zobe. Če ste izgubili zobe ali pa so le-ti slabega zdravstvenega stanja, boste presenečeni, kako vas vgradnja vsadkov lahko transformira in vam vrne samozaupanje in nasmeh na obraz.Izvedite več ›
ZOBNE KRONE


Zobne krone so nadomestek, ki oponaša obliko, velikost in barvo naravnega zoba ter se trajno pritrdi na vgrajene zobne vsadke ali pa na naraven zob, ki je oslabljen, poškodovan ali pa estetsko slab. Glavni cilj kron sta povrnitev izgubljene funkcije in krepitev zob.Izvedite več ›
ZOBNI MOSTIČKI


Pomanjkanje enega, dveh ali več zob je možno nadomestiti z zobnim mostičkom, ki je sestavljen od zobnih kron. Zobni mostički so pogosta rešitev pri popolnjanju praznin, katere je povzročil pomanjkljaj zob, zadovoljujejo pa funkcionalnosti naravnih zob, hkrati pa so tudi dolgoročna estetska rešitev.Izvedite več ›
ZOBNE LUSKE


Eden izmed najbolj pogostih načinov sodobnega izboljšanja estetike nasmeha je postavitev keramičnih lusk. Ne glede na to, ali si želite spremeniti barvo, obliko, velikost ali položaj zoba, luske so majhne stvari, ki naredijo veliko razliko.Izvedite več ›
BELJENJE ZOB


Hitra, neboleča in učinkovita rešitev za potemnjene zobe brez leska je beljenje zob. Lesk in belino svojim zobem lahko povrnete v le 45 minut s pomočjo popolnoma neboleče metode z uporabo zoom svetilke, katera ne poškoduje zobne sklenine.Izvedite več ›
