Zobotehnični laboratorij
Zobotehnični laboratorij
Najnovejši sistemi in tehnologije pri izdelavi zob
Laboratorij je opremljen z najsodobnejšimi tehnologijami in sistemi, ki se uporabljajo pri izdelavi protetičnih nadomestkov, kot so rezkalni stroj Sirona inlab, program Cerec in številni drugi.
Prikaži več Prikaži manjV laboratoriju se uporabljajo najboljši materiali. Zajete so vse storitve v fiksni in mobilni protetiki, kot tudi v implantologiji, tako da imajo pacienti popolno zaupanje v delo in jamstvo za protetične nadomestke, pridobljene v našem laboratoriju.
Prikaži več Prikaži manjPreverite našo strokovnost

CAD-CAM TEHNOLOGIJA
Eden izmed teh sistemov je tudi CAD-CAM tehnologija ali CAD CAM revolucija v dentalni medicini, sistem računalniškega dizajniranja zob v samo nekaj korakih.
Za CAD CAM tehnologijo je značilno virtualno in hitro dizajniranje nasmeha, kar omogoča izdelavo edinstvenega nadomestka s popolno naravnostjo, barvo in transparentnostjo, ki izpolnjuje pričakovanja tudi najzahtevnejših pacientov.
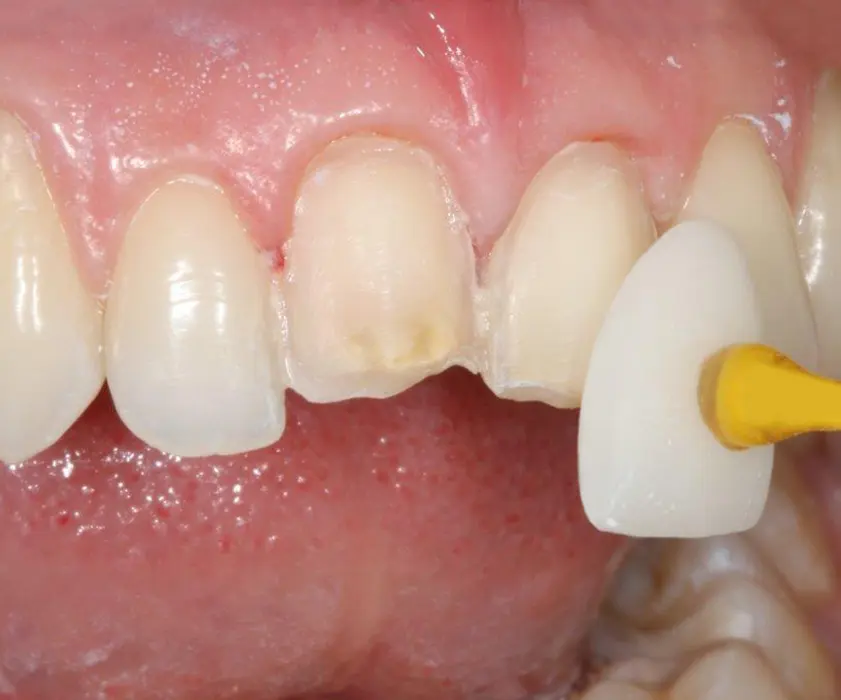
ZOBNE KRONE
Zobne krone (zobne prevleke) so protetični nadomestek, ki posnema obliko, veličino ter barvo zob. Trajno se fiksira na zobni implantat ali izbrušen zob. Izvedite več

ESTETSKE ZOBNE LUSKE
Zobne luske so tanek transparenten nadomestek v obliki luske, po kateri so tudi dobile ime, katerega se zalepi na sprednjo površino zoba, kar omogoča, da se popolnoma združi z naravnim zobom.
Izvedite več













