Beljenje zob
Rezultati ›
ZAKAJ BELITI ZOBE?
Bleščeč nasmeh je od zmeraj privlačil pozornost drugih ljudi. Danes si vse več ljudi prizadeva imeti bleščeč, bel nasmeh, saj niso zadovoljni z barvo svojih zob. Zobje izgubljajo svoj sijaj skozi leta. Zobna sklenina je odgovorna za beli sijaj zob ter obstajajo številni vzroki, ki vplivajo na spremembo barve zobne sklenine:
Želodčna kislina, Limonska kislina, Led, Alkohol.
Zaradi tega je zelo pomembno vzdrževati dobro oralno higieno in izpirati zobe po uživanju hrane, ki lahko poškoduje zobno sklenino. Ko se sklenina obrabi in postane tanjša, pride do izraza temnejša barva dentina, zobje pa postanejo bolj občutljivi na hrano ali napitke temne barve.
Na barvo zob lahko vplivajo:
Kava, Rdeče vino, Temni sokovi in hrana,Cigarete, Antibiotiki ter določena zdravila.
Takšne spremembe na zobeh lahko učinkovito rešimo z beljenjem zob.
Preverite našo strokovnost

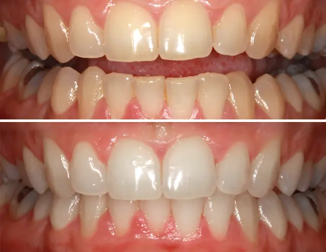
KAKŠNE REZULTATE LAHKO PRIČAKUJEMO?
Rezultati beljenja zob trajajo v glavnem leto ali dve, odvisno od oralne higiene ter življenjskih navad – uživanja izrazito obarvanih jedi in pijač.
Lep nasmeh poveča samozaupanje, razen estetskega videza pa daje tudi vtis o higieni človeka ter zdravju zob.
V skladu z našimi izkušnjami ter s številnimi raziskavami, beljenje zob z zoom svetilko daje najboljše, najhitrejše ter najbolj vidne rezultate v primerjavi z ostalimi metodami beljenja zob. Belenje zob z zoom svetilko se izvaja na način, da z gelom kemično delujemo na površino zoba. Z aktivacijo gela (na bazi vodikovega peroksida) pride do sproščanja kisika, ki vstopi v sklenino in menja barvo zoba za več odtenkov. Postopek je neboleč, ne poškoduje zobno sklenino in običajno je zaključen z enim ali največ dvema obiskoma, odvisno od strukture zobne sklenine ter barve, ki jo želimo doseči.
Pri enem obisku se zobje belijo 45 minut. Zelo je pomembno omeniti, da je pred beljenjem zob potrebno podrobno očistiti zobni kamen, kakor bi rezultat trajal čim bolj dolgo. V glavnem traja leto ali dve, odvisno od vzdrževanja oralne higiene ter življenjskih navad – uživanja izrazito obarvanih jedi in pijač. Beljenje z zoom svetilko je popolnoma varen in kontroliran način beljenja zob.

V primeru devitaliziranega zoba (odstranjen zobni živec), zob sčasoma potemni in na ta način kvari videz. V tem primeru je možno opraviti beljenje enega zoba ali interno beljenje, s čimer se doseže ponovni sklad zobnega niza. Interno beljenje zob pomeni, da se znotraj komore zoba vbrizga gel, ki vstopa v dentalne tubule in v notranjosti opravi beljenje zobne strukture. Na ta način se povrne naravna barva zobu, ki je postal temnejši in pokvaril estetiko zobnega niza. Ta postopek je potrebno ponavljati, kakor bi se dosegli čim bolj trajni rezultati, število ponavljanj pa je odvisno od individualnega primera. Glede na dosedanje izkušnje je postopek potrebno ponavljati vsako leto in pol ali dve.

Kaj pravijo naši bolniki o nas.
Izkušnje
Izkušnje
Izberite način plačanja
Kakor bi vam lahko olajšali financiranje vašega stomatološkega posega, za plačilo v gotovini dajemo 5-15% popusta.

















